
Chemical
Neuroscience
Laboratory

Our Mission
While individual neurons are themselves sophisticated processors, the true computing power of the brain emerges from the massive connections each neuron makes with thousands of other neurons (i.e., connectome). Yet, how the brain connectome gives rise to its sophisticated functions and how it is altered by neuropsychiatric diseases remain largely unknown. Our lab at the interface of chemistry and neuroscience focuses on developing innovative biochemical tools, advanced microscopy techniques, and computation methods to understand brain connectivity in health and diseases.​
Multiscale Brain Circuit Imaging

As a structure, the brain is extremely intricate. The human brain consists of approximately 80 billion neurons, and the mouse brain contains around 70 million neurons. These neurons, with their unique geometry, operate across multiple length scales: they project their micrometer-diameter myelinated axon over millimeters and sometimes centimeters to establish nanoscale synaptic connections with specific partner neurons. Each neuron orchestrates thousands of such connections while receiving thousands of synaptic inputs from other neurons. This creates an amazingly complicated network with fan-out and fan-in taking place for every single neuron. This massively interconnected network underlies behaviors and thoughts. Recent advances in automated serial electron microscopy have enabled the visualization of synaptic connections (see the video on the left), giving rise to the field of connectomics. However, capturing the structural features of the brain across a breadth of scales remains challenging. To address this, we develop novel microscopy techniques along with tissue processing methods to reveal brain circuits with ever-increasing scope and details.
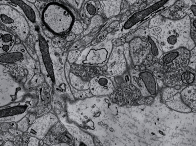
Multiplexed Molecular Labeling
Neurons in the brain are not generic; instead, they exhibit extraordinary molecular diversity. The molecular composition of neurons underpins their distinct ways of processing and transmitting signals. Integrating molecular information into connectomic studies is, therefore, crucial for understanding how brain circuits operate. However, there have been no routine methods to label volumetric electron microscopic images with numerous molecular identifiers.
We develop miniaturized protein binders, including nanobodies, single-chain variable fragments of antibodies, aptamers, and more, to make cell labeling compatible with tissue ultrastructural imaging (see the image on the right). We build a multiplexed molecular imaging platform utilizing these binders to retrieve extensive molecular information from brain samples. This approach, which correlates detailed molecular and structural analyses, equips us to investigate how a diversity of neurons organizes into functional networks.

Connectopathy: Understand Pathological Neural Connections

No other organ system is as closely associated with a long list of incurable diseases as the brain: schizophrenia, autism spectrum disorders, major depressive disorder, and others. Worse still, for many of these diseases, there is not only no cure, but not even a clear idea of what is wrong. The fine structure of neural circuits is highly diverse at both structural and molecular levels, differing significantly from the marked redundancy in other organs. An even more intriguing difference is that genetic mutations, molecular perturbations, and life experiences can all alter the brain’s wiring. Therefore, unlike other organ systems, where disease is typically linked to clear pathological signs, most psychiatric disorders lack pathognomonic indicators. We believe the pathology of psychiatric disorders should extend beyond biochemical assays and include connectomic surveys. By combining biochemical tools, multimodal imaging methods, and disease models, we aim to link behavioral, cognitive, and learning abnormalities to underlying pathological structures or connections, paving the way for therapeutic development.
Our research program is highly interdisciplinary, intersecting with chemical biology, neurobiology, microscopy, polymer engineering, and computation. Lab members work in multiple lab spaces: chemical bench, microscope room, animal facility, cell culture facility, and computational workstation, and will be able to collaborate with people from diverse training background.